
Dental Crowns
Need A Crown Now? We'll Get You In ASAP

If you've suffered a dental injury, such as a cracked tooth, that requires a dental crown, call our office for an emergency appointment. We'll fit you in as soon as possible. Often, we are able to schedule patients for a crown appointment the same day they call. Since we have on-site CEREC® technology, we can craft a crown for you and place it in one appointment, allowing you to avoid the need for a temporary crown and second appointment. Call now:
Do You Need a Dental Crown? Request a Consultation
Have you suffered some dental trauma? Are you having a toothache or other symptoms that might indicate the need for a root canal? A crown can protect your tooth from further damage, which can help you avoid the need for more invasive or costly procedures, such as dental extractions and implants. Crowns can also restore the look of your smile, giving you the confidence you deserve. Call our Brooklyn Heights office to request a consultation with our dentists and find out if crowns are right for you:
(718) 857-6639

"I recommend highly..."
I will highly recommend Brooklyn Heights Dental. Their services are splendid in all matters. Clear information, follow-up in case of a health insurance concern and most importantly, they accommodated my needs...
View on GoogleOffice very clean and filled with light (great location). Staff very friendly, and Dr. Stanislaus is patient, thoughtful, and good at communicating with patients. Recommend highly.
View on GoogleWhat Does the Procedure Look Like?
Walk out with a New Crown in a Single Appointment
With the introduction of this technology, patients can save time and forgo a temporary crown by condensing their treatment into a single office visit.
CEREC Same-Day Crowns
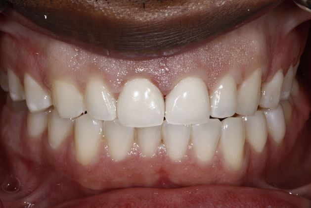
Same-day crowns are durable ceramic restorations made with CEREC technology (Chairside Economical Restoration of Esthetic Ceramics). The system uses state-of-the-art CAD/CAM (computer-aided design and computer-aided manufacturing) to streamline the production and improve the accuracy of your dental crown. We start by taking digital x-rays and 3-D scans of your teeth and uploading them to our CEREC software to create a digital mold. Next, the crown blueprint is sent to our in-office milling machine and carved from a solid block of porcelain ceramic. The entire fabrication process takes less than one hour. In the meantime, our dentist prepares and places your tooth as soon as it's ready.
It is Important to Seek Treatment Quickly! Schedule an Appointment Today

If you suspect something is wrong with your oral health, do not hesitate to make an appointment with the dentist. Putting off a dental visit can lead to serious consequences, especially if you need a crown. Treatment is easy: our friendly dentists will quickly assess your situation and recommend the ideal solution for your needs.
Furthermore, we are happy to accept flexible financing options to help make your procedure more comfortable. No matter what kind of shape your teeth are in, the team at Brooklyn Heights Dental® is here to care for you without judgment. Schedule your consultation at our practice in Brooklyn, New York, online or by calling:
(718) 857-6639
Making Time For You!
"I had to make an emergency visit to these folks - not my regular dentist - just before a holiday weekend. They were kind, gracious, and attentive and took good care of my tooth." Leslie Wilsher
What Happens If I Need An Extraction? Fill the Gap with an Implant-Supported Crown
Patients who are missing teeth or need an extraction can restore their smile with an implant-supported crown. These restorations are supported by revolutionary dental implants which are placed within the jaw and become part of your oral anatomy. While traditional restorations replace the visible crowns of the teeth, dental implants work deeper to replace the missing tooth roots. This will not only provide unparalleled support for your implant-supported crown, but stimulate your oral tissues and prevent bone recession, as well.
Your Treatment Timeline
Day of Procedure
We practice conservative dentistry, removing the minimal amount of enamel needed to make room for your restoration.
Choosing the Optimal Restoration
CEREC
If convenience is your primary concern, you can't beat the speed and efficiency of a CEREC same-day restoration. These ceramic dental crowns are incredibly precise and snugly cap the surface of your tooth.
Porcelain
Some patients prefer the aesthetics of lab-made porcelain restorations to CEREC, especially when they need to crown a highly visible front tooth. Porcelain is undeniably lifelike, displaying the same translucency and light-reflecting properties of natural enamel.
Porcelain Fused to Metal
While all of our restorations are strong, well-fitting, and secure, some materials are better suited for wear and tear. For example, patients with bruxism may want to consider a porcelain fused to metal crown. These lab-made restorations combine the durability of a metal base with the natural-looking aesthetics of a porcelain top coat.
Choose Patient-Focused Care

Patients throughout Brooklyn, Fort Greene, and New York City choose our practice for top-of-the-line dentistry and personalized service. The team at Brooklyn Heights Dental® prioritizes your comfort in order to give you a truly pleasant experience at each visit. We understand that you have choices when it comes to your dental provider and we are committed to being nothing less than the best. Change the way you experience dental care and schedule your next appointment at our Brooklyn Heights practice. You can contact us online or by calling:
(718) 857-6639
5-Stars!
"This was hands down the absolute best dental experience I have ever had in my life! They are professional, compassionate and I am so happy I found them." Cecilia Caines-Brown
Frequently Asked Questions About Crowns
Our Brooklyn practice believes patient education is essential. Here are some answers to the questions patients ask most frequently about dental crowns:
How long do porcelain crowns last?
Porcelain crowns can typically last about eight years. According to research published in The Journal of Prosthetic Dentistry, porcelain crowns have a 94% 8-year survival rate.Is it painful to have a crown put on your tooth?
The dental crown placement process is virtually painless, thanks to local anesthesia. Your dentist will apply local anesthesia to your gums to numb the area before the treatment begins.Can your teeth rot under a crown?
Teeth decay under a crown is possible, especially if you don't keep up with your dental hygiene routine. You should brush and floss all surface areas of your crown, just like your natural teeth, to prevent plaque from collecting.Does insurance cover crowns?
Crowns to repair an injured or infected tooth are typically covered, at least in part, by insurance. However, this depends on your insurance plan. We accept most insurance providers and accept financing from CareCredit®. A crown is less expensive than replacing a missing tooth with an implant-supported crown, so we encourage patients to take fast action if you detect any issues with your tooth.
"It's better than any other dental office I've been to." Reviews by Brooklyn Patients
I love my dental hygienist and my dentist. They are so helpful and knowledgeable. Thanks for caring.
View on GoogleFriendly and professional staff that are always on their A game. It's better than any other dental office I've been to.
View on Google


