Dental Bonding Non-invasively Corrects Small Imperfections in Your Smile
Dr. Eugene D. Stanislaus and Dr. Lisa Reid can use dental bonding at their Brooklyn Heights, NY, practice to conceal and repair small chips, cracks, and other blemishes. This tooth-colored composite provides a conservative treatment to rejuvenate your smile in a single appointment. Patients can take advantage of a conservative procedure and results that blend with their natural smile.
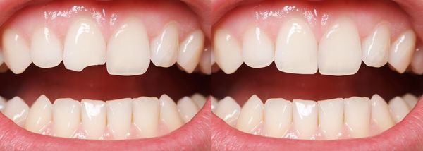
Is Dental Bonding Right for You?

Dental bonding is a versatile option that can correct many different aesthetic concerns. Bonding may be an affective treatment for you if you suffer from a range of dental issues, such as:
- Chips
- Cracks
- Minor misalignment
- Dental erosion or uneven edges
- Unusually small or irregularly shaped teeth
- Discoloration that does not respond to teeth whitening
- Slightly gapped teeth
Bonding is a non-invasive treatment that does not require alteration of your teeth. However, you should be in good oral health before undergoing any cosmetic procedure. Dr. Stanislaus or Dr. Reid can treat any underlying health problems before performing dental bonding.
The Dental Bonding Process
Before beginning the procedure, your dentist will carefully plan the treatment with you. Together, you will discuss your oral health and cosmetic goals. Your doctor will then choose the color of composite that most closely matches your smile and begin the dental bonding procedure.
At this time, we may coat your teeth in a chemical solution to roughen the surface of the enamel. This step increases the surface area so that the composite can grip onto to the teeth more securely. In most cases, no anesthetic is necessary. Once your teeth are sufficiently prepped, the bonding is applied.
Because the procedure is not invasive and is finished quickly, dental bonding is much more affordable than other similar treatments.
Dr. Stanislaus and Dr. Reid both have an artistic eye and will work precisely, shaping the material so that it has a smooth finish which blends with your dental enamel. Your doctor will also carefully conceal flaws and refine the shape of irregular teeth for a harmonious smile. When you are satisfied with the results, your dentist will cure the material with a specially designed light. We can polish the bonding site to ensure it blends seamlessly with your smile.
Why Choose Dental Bonding?
At Brooklyn Heights Dental®, we offer numerous cosmetic dentistry treatments, but there are a number of reasons to consider dental bonding.
- Preservation of teeth: First and foremost, dental bonding is a conservative procedure. Rather than remove enamel, your dentist adds to the existing structure. As a result, the tooth remains stable and strong.
- Convenience: The procedure typically lasts an hour or less per tooth. Patients can return to their normal routine as soon as they leave the office.
- Affordability: Because the procedure is not invasive and is finished quickly, dental bonding is much more affordable than other similar treatments. While the results are not as durable as porcelain veneers or LUMINEERS®, they can last for up to five to seven years. Furthermore, because the treatment is so reasonably priced, you can receive touch ups as needed.
- Aesthetics: Dental bonding blends with teeth while fully concealing blemishes, leaving patients with a smile that looks as natural as it feels. Many patients who are otherwise self-conscious about their teeth often feel much more confident after treatment.
Improve Your Dental Aesthetics
If you want to enjoy a brighter, more aesthetic smile but are looking for a conservative treatment option, bonding may be the solution. Contact Brooklyn Heights Dental® to schedule a cosmetic consultation today.

